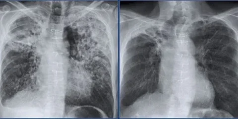
Notre Vitality™ Nettoyant pour les mucus des poumons a été soigneusement élaboré avec un design avancé et l’expertise de spécialistes en santé respiratoire.
Nous collaborons étroitement avec des professionnels de la santé renommés pour garantir que notre spray respecte les normes les plus élevées en matière d’efficacité et de sécurité, vous offrant une solution fiable pour un soulagement immédiat de la congestion pulmonaire et un soutien durable pour la santé de vos poumons.